The Condition.

Hyper pigmentation.

Our beautiful client had  hyper pigmentation caused by lifestyle factors such as sun exposure (left) and one with hormonal type hyperpigmentation, called Melsama.

Pigmentation before and after. Glowing skin - Melbourne based skin clinic

The skin journey.
And the treatments we did.

We prepped both our clients’ skin by making sure they had a full home care routine, including tyrosinase (pigment) inhibitors, essential fatty acids – both internal and external, and of course SPF before we started treatments.

Pigmentation isn’t a quick fix if you’re looking for a long term solution.
We have two Lasers and a BBL machine that could easily have treated the Hyperpigmentation caused by sun exposure – but we don’t recommend them for hormonal pigmentation.

The result on the left was achieved in 10 sessions – combining Enzyme Therapy with vitamin A peels, Mini Clinical treatments level 3 with added LED, and Skin Needling.

The result on the right was achieved by creating a healthy, fully functioning skin with 2 Enzyme Therapy treatments before performing the Cosmelan Peel.

Both have achieved a beautiful long term result.

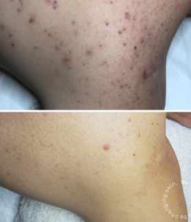
The Condition.

Post acne scarring and laxity.

Our acne client had a mixture of atrophic and hypertrophic scarring, and our other client had post baby laxity and collagen breakdown.

Acne scarring removal in Melbourne Scar reduction in Melbourne Skin Clinic

The skin journey.
And the treatments we did.

Treatments for both of these two clients, although different conditions, revolved around rebuilding fully functional tissue and collagen.
For both we started out with Alkaline revision combined with Body Enzyme Therapy.

We then did two Mini RP treatments for the back (vitamin A combined with Salicylic, Citric, Lactic and Glycolic Acid) and finished off the series with Skin Needling.

For the tummy we went straight into Skin Needling combined with Enzyme Therapy. Since this was performed we now have the additional amazing tool of BBL SkinTyte which we could have used. We will be sure to update our results as we get them.

The Condition.

Our beautiful client was a 16 year old girl who had suffered from inflamed acne for 4 years. Inflamed acne is a hereditary condition of the follicle, which often flares in puberty due to the surge in hormones.

Hormonal acne journey in Melbourne Inflamed acne journey in Melbourne

The skin journey.
And the treatments we did.

First we cleared her acne using a prescription of DMK actives to work on the underlying congestion that had built up over years every day. The reason why acne can sometimes seem to get worse in the process of clearing is that all the congestion sitting in every single pore has to come up and out.

We also scheduled a series of 10 treatments in clinic 2-4 weeks apart, combining Enzyme Therapy with custom exfoliants, including Alkaline Solution, which had a few days downtime, but was well worth it!

We could then keep working on scar revision, which was 3 needling sessions in this case.

We could absolutely keep going but this young lady has her confidence back and is happy just maintaining things at home, with the occasional Forever Clear treatment booked in.

The Condition.

Inflammatory Acne on darker Fitzpatric skin type.

Both these clients experienced years of struggles with inflamed acne, and had never found anything that worked well.

A darker skin type means more risk of scarring and post inflammatory hyper pigmentation, so requires a clinician who is confident treating darker skin types.

Inflammatory Acne on darker Fitzpatric skin type. Inflammatory Acne on darker Fitzpatric skin type.

The skin journey.
And the treatments we did.

Treating darker skin always comes with its own set of considerations as it is extremely prone to hyper pigmentation.

We made sure the skin was supported with full home prescriptives to prep the skin and make sure it would heal well post treatments.

With acne it’s also important to make sure we get to all those little blocked pores that are hard to see but will come up when you least expect it. This has to happen by daily use of active ingredients such as a low grade, mild salicylic acid, Vitamin A and correct hydrators that will increase the water and thin the oil out so it can come up and out.

In clinic we performed as series of Enzyme Therapy treatments with various pre exfoliations (including Mini RP’s) with LED and then skin needling.
We now see these two for the occasional maintenance treatment which consists of a Mini Clinical treatment or a Clinical treatment with LED.

The Condition.

Steroid induced acne.

Our male client came to us looking for help for his back which had broken out as a result of steroid use – a case he was keen to put behind him.

Steroid induced acne cured at Hud Skin and Body - Melbourne Skin Clinic

The skin journey.
And the treatments we did.

These results were achieved in 5 treatments and full DMK home prescriptives. Our treatments of choice were Alkaline and Enzyme Therapy and then a series of Mini RP peels.

The back is one of the easiest areas to treat because the skin it’s a lot thicker. This means we’re able to achieve results quicker.

The Condition.

Diffused redness.

Both our clients felt that they was always red and wanted to have a more even skin tone. This type of diffused redness is often hereditary or set on by certain medication.

Red blotchy cheeks Diffused redness on face.

The skin journey.
And the treatments we did.

As always we started our journey with Enzyme Therapy. The reason this is so important when it comes to treating redness and capillaries is that capillaries will branch out like little branches on a tree to try and take in more oxygen. So by cauterising them with Laser or BBL without increasing oxygen is like putting a band aid on a huge gash and thinking it will stop the bleeding.

After 4 sessions of Enzyme Therapy we went in with 2 Cutera Laser treatments to shut down the capillaries and here’s the result. Laser for this kind of diffused redness will sometimes come with some temporary swelling, but is short lived. Or, we now also offer BBL HERO Forever Young with great results and less downtime (at least 4 sessions may be needed for a more progressive plan).

We recommend an Enzyme Therapy treatment every 5-6 weeks to maintain the oxygen levels in the skin